產品中心

Beclin-1 Rabbit pAb
一鍵復制產品信息
EA240
規格: 價格:
50μL ¥1280.00
100μL ¥1980.00

Overview

Product name: Beclin-1 Rabbit pAb
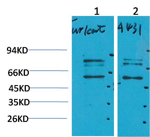
Reactivity: Human
Alternative Names: ATG6, Bcl-2 interacting protein beclin, BECN1, Coiled coil myosin like BCL2 interacting protein
Source: Rabbit
Dilutions: WB 1:1,000-2,000
Immunogen: Recombinant Protein
Storage: PBS with 0.02% sodium azide and 50% glycerol pH 7.4. Store at -20°C. Avoid?repeated?freeze-thaw?cycles.
Clonality: Polyclonal
Isotype: IgG
Concentration: 1mg/mL
Observed Band: 60kDa
GeneID: 8678
Human Swiss-Prot No: Q14457
Background: Autophagy is a catabolic process for the autophagosomic-lysosomal degradation of proteins activated in response to nutrient deprivation and in neurodegenerative conditions. One of the proteins critical to this process is Beclin-1.
關閉

在線咨詢

Online consultation

  • 在線咨詢
  • 技術支持

關注微信公眾號

微信掃一掃立即咨詢

微信掃一掃立即咨詢

關閉