產品中心

STAT2 Rabbit pAb
一鍵復制產品信息
EA207
規格: 價格:
50μL ¥1280.00
100μL ¥1980.00

Overview

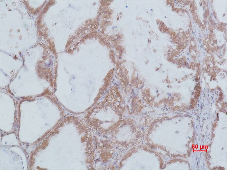
Product name: STAT2 Rabbit pAb
Reactivity: Human, Rat, Mouse
Alternative Names: ISGF 3 antibody, p113 antibody, STAT113 antibody, MGC59816 antibody
Source: Rabbit
Dilutions: WB 1:1,000-2,000?? IHC 1:200-500
Immunogen: Recombinant Protein
Storage: PBS with 0.02% sodium azide and 50% glycerol pH 7.4. Store at -20°C. Avoid?repeated?freeze-thaw?cycles.
Clonality: Polyclonal
Isotype: IgG
Concentration: 1mg/mL
Observed Band: 98kDa
GeneID: 6773
Human Swiss-Prot No: P52630
Cellular localization: Cytoplasm,?Nucleus
Background: Signal transducer and activator of transcription that mediates signaling by type I IFNs (IFN-alpha and IFN-beta). Following type I IFN binding to cell surface receptors, Jak kinases (TYK2 and JAK1) are activated, leading to tyrosine phosphorylation of STAT1 and STAT2.
關閉

在線咨詢

Online consultation

  • 在線咨詢
  • 技術支持

關注微信公眾號

微信掃一掃立即咨詢

微信掃一掃立即咨詢

關閉