產品中心

SOD1 Rabbit pAb
一鍵復制產品信息
EA197
規格: 價格:
50μL ¥1280.00
100μL ¥1980.00

Overview

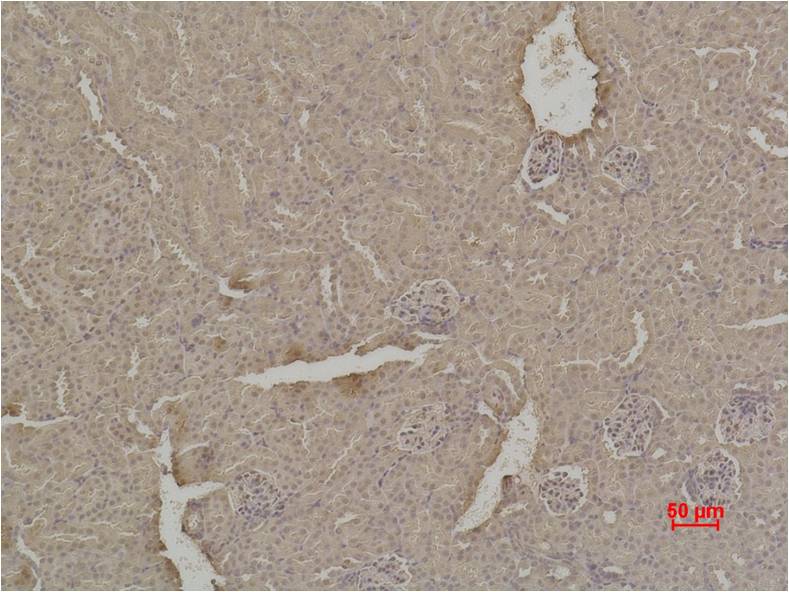
Product name: SOD1 Rabbit pAb
Reactivity: Human, Rat, Mouse
Alternative Names: ALS1 antibody, Cu/Zn SOD antibody, Superoxide dismutase 1 antibody
Source: Rabbit
Dilutions: WB 1:2,000-5,000?? IHC 1:200-500
Immunogen: Recombinant Protein
Storage: PBS with 0.02% sodium azide and 50% glycerol pH 7.4. Store at -20°C. Avoid?repeated?freeze-thaw?cycles.
Clonality: Polyclonal
Isotype: IgG
Concentration: 1mg/mL
Observed Band: 18kDa
GeneID: 6647
Human Swiss-Prot No: P00441
Cellular localization: Cytoplasm,?Mitochondrion,?Nucleus
Background: Superoxide dismutase [Cu-Zn] also known as superoxide dismutase 1 or SOD1 is an enzyme that in humans is encoded by the SOD1 gene, located on chromosome 21. SOD1 is one of three human superoxide dismutases.
關閉

在線咨詢

Online consultation

  • 在線咨詢
  • 技術支持

關注微信公眾號

微信掃一掃立即咨詢

微信掃一掃立即咨詢

關閉