產品中心

Cav γ3 Rabbit pAb
一鍵復制產品信息
EA193
規格: 價格:
50μL ¥1280.00
100μL ¥1980.00

Overview

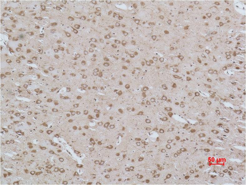
Product name: Cav γ3 Rabbit pAb
Reactivity: Human, Rat, Mouse
Alternative Names: acng3 antibody, TARP gamma-3 antibody, Transmembrane AMPAR regulatory protein gamma-3 antibody
Source: Rabbit
Dilutions: WB 1:1,000-2,000?? IHC 1:200-500
Immunogen: Synthetic Peptide
Storage: PBS with 0.02% sodium azide and 50% glycerol pH 7.4. Store at -20°C. Avoid?repeated?freeze-thaw?cycles.
Clonality: Polyclonal
Isotype: IgG
Concentration: 1mg/mL
Observed Band: 30kDa
GeneID: 10368
Human Swiss-Prot No: O60359
Cellular localization: Membrane
Background: The γ subunit is an integral membrane protein. The γ family consists of at least 8 members, which share a number of common structural features. CaVγ subunits inhibit CaV channel activity and modulate its activation and inactivation kinetics.
關閉

在線咨詢

Online consultation

  • 在線咨詢
  • 技術支持

關注微信公眾號

微信掃一掃立即咨詢

微信掃一掃立即咨詢

關閉